Task 1
Developing immuno‑organoids from patient biopsies to model autoimmune diseases using cancer organoid frameworks
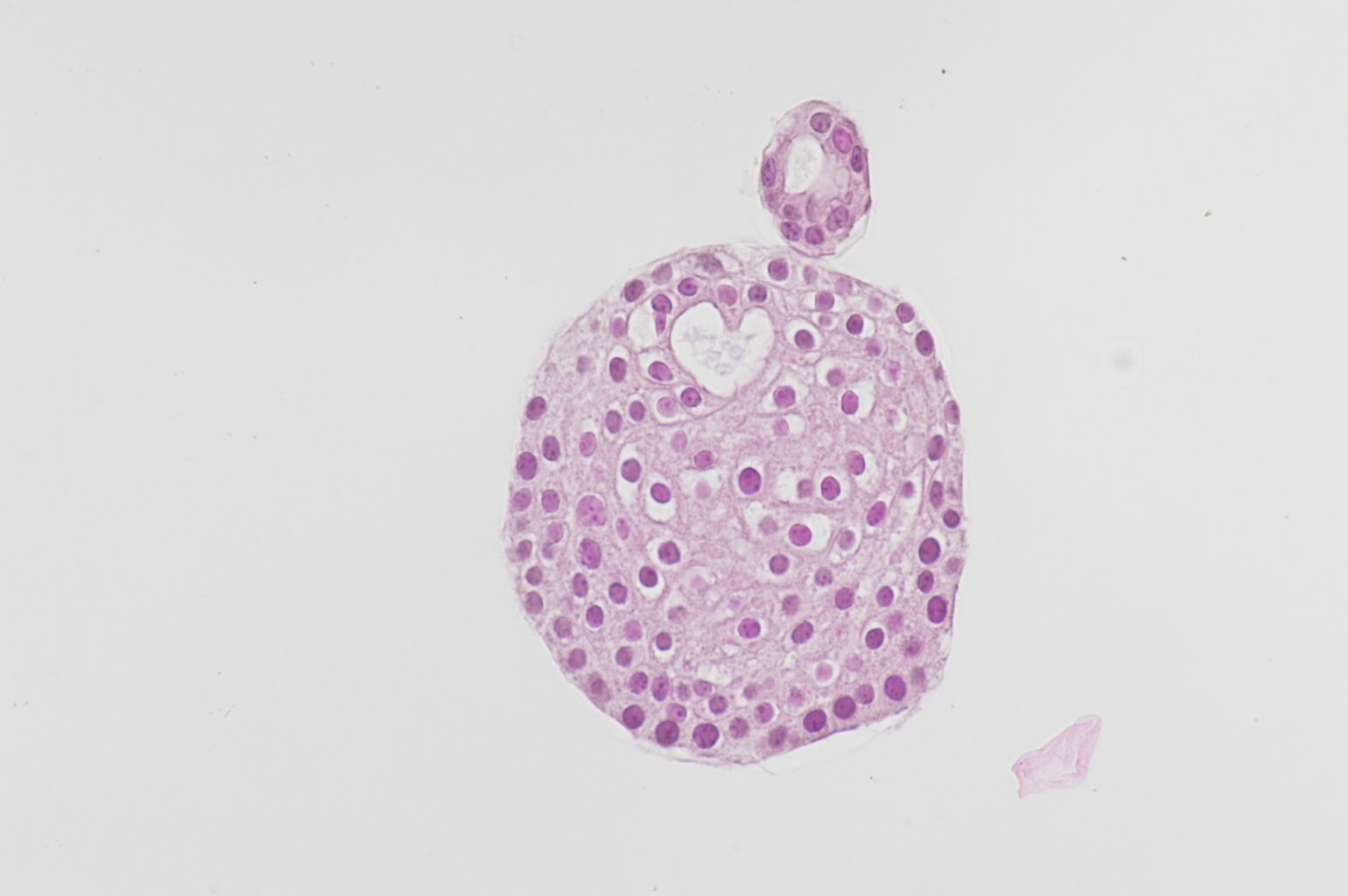
The research team is developing patient‑derived salivary gland organoids to provide a more faithful model of Sjögren’s disease. Building on the pioneering work initiated by Gaëtane Nocturne, these mini‑tissues recapitulate key pathological features and reproduce essential epithelial–immune cell interactions. The integration of immune components into the organoids is currently underway, paving the way for next‑generation immuno‑organoid systems.
As a national reference center for rare systemic autoimmune diseases, we benefit from continuous access to high‑quality patient samples. This unique resource enables the development of robust and reproducible immuno‑organoid platforms with strong potential for drug screening – including immunotherapies-and, ultimately, for personalized medicine applications.
Read the full scientific article : Development of salivary gland organoids derived from patient biopsies: a functional model of Sjögren’s disease – ScienceDirect

Exemple of a salivary gland organoïd : “Lovely Heart”, Loïc Meudec


Task 2
AI‑Enhanced Analysis of Cancer Risk in Autoimmune Diseases Using French Health Databases (EDS, SNDS)
The research team led by Raphaèle Seror has program on cancer risk in autoimmune diseases, with a particular focus on the impact of treatments, including biologics and targeted therapies. This work has already led to several publications, notably in rheumatoid arthritis, based on large-scale population data (fig. 1 and 2). The project aims to extend these studies to immune-mediated diseases and treatments, with three main research axes:
- (i) cancer risk associated with immune-mediated diseases,
- (ii) and risk related to their treatments, and
- (iii) lymphoma risk in autoimmune diseases, with a specific focus on Sjögren’s disease.
For Sjögren’s disease, the project will study both the impact of treatments on lymphoma risk and the development of a predictive score to identify patients at higher risk of lymphoma. A major component of the project relies on the use of large healthcare databases, such as SNDS and the AP-HP data warehouse (Entrepôt des Données de Santé, EDS).
In collaboration with CentraleSupélec, (Paul-Henri Cournède, Wassila Ouerdane MICS Lab), as well as Inria Saclay (Gaël Varoquaux, Judith Abecassis, Soda team), the project will use data from these databases to develop predictive models of serious adverse events, including cancer, in patients treated with immunomodulatory drugs.

Read the full scientific article Fig 1 : The Lancet Regional Health – Europe 2023;35: 100768 Published Online 30 October 2023 https://doi.org/10. 1016/j.lanepe.2023. 100768

Read the full scientific article Fig 2 : Seror R, et al. RMD Open 2022;8:e002139. doi:10.1136/rmdopen-2021-002139
Task 3
To use artificial intelligence to help diagnose and find markers of cancer and autoimmune diseaseson patient biopsies
Samuel Bitoun has built a 6 countries European database and collaborates with American databases of lip gland biopsies of Sjögren’s disease patients. He works with an AI deeptech startups to train neural networks to identify biopsy patterns associated with Sjögren’s disease diagnosis and new biomarkers associated with disease endotypes. The aim is to expand the cohort to include lip biopsies with lymphoma in Sjögren’s disease patients to train AI models to perform identification of patterns associated with lymphoma.

(A) Heatmap of the risk score for each tile of the biopsy in the focus score prediction task.
(B) Shapley values associated with each pattern for the prediction of Sjögren’s disease diagnosis. Each dot represents a patient. Positive Shapley values mean that the pattern contributed positively to a prediction of Sjögren’s disease diagnosis for this patient. Negative Shapley values mean that the pattern contributed negatively to the prediction of Sjögren’s disease diagnosis.





